歯並びは「顎で育てる」でつくる〜今しかできない一期治療とは?〜

ブログ

BLOG

歯並びは「顎で育てる」でつくる〜今しかできない一期治療とは?〜

こんにちは、一宮市浅井町『にじいろ歯科』です。「うちの子、歯並びがガタガタしてきたかも…」 「大人の歯が生えてきたけれど、どう見てもスペースが足りない気がする」 お子様のお口の中を見て、そんな不安を感じたことはありませんか?

実は、きれいな歯並びを作るために「歯そのものを動かす」こと以上に重要なのが「顎(あご)の成長」です。 今回は、お子様の成長期だからこそできる特別なアプローチである「一期治療(いっきちりょう)」について、その仕組みや臨床的なメリットを詳しく解説します。

歯並びの悪さは「顎の小ささ」が原因?

きれいに歯が並ぶかどうかは、「顎の大きさ(ベッド)」と「歯の大きさ(人)」のバランスで決まります。 ベッドが狭いのに、人がたくさん寝ようとすると、はみ出したり重なったりしてしまいますよね。歯並びもこれと全く同じ原理です。

現代の子どもたちは、食生活の変化(柔らかいものを食べる機会が増えたことなど)により、顎の骨が十分に発達しきらず、小さくなる傾向にあります。顎が小さいままだと、これから生えてくる大きな永久歯がきれいに並ぶスペースが足りません。その結果、歯が押し合ってガタガタになったり(叢生:そうせい)、前に押し出されて出っ歯になったりしてしまうのです。

「顎を育てる」小児矯正・一期治療とは?

小児矯正は、大きく分けて「一期治療」と「二期治療」の2つのステップで行われます。 今回注目する「一期治療」は、主に6歳〜12歳ごろの「乳歯と永久歯が混ざっている時期(混合歯列期)」に行う治療です。

一期治療の最大の目的は、一つ一つの歯をきれいに並べることではありません。「顎の骨の成長をコントロールし、すべての永久歯が無理なく並ぶための土台(スペース)を作ること」にあります。

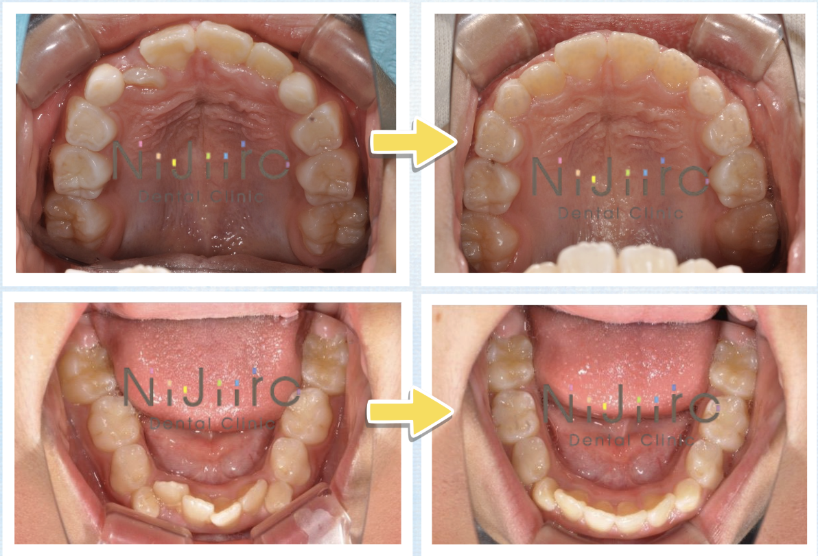
【症例イメージ】顎のスペース不足で「ガタガタ」になってしまったケース

ここで、一期治療によってどのように歯並びの土台が作られるのか、よくある症例のイメージをご紹介します。

■ お悩み: 「前歯が大人の歯に生え変わったが、斜めに生えて重なっている(ガタガタしている)」

■ 原因: 乳歯の段階で歯と歯の間に隙間がなく、顎の幅が全体的に狭かったため、後から生えてきた大きな永久歯が並ぶスペースが不足していました。

■ 結果: 矯正治療で顎の骨が適切に成長し、永久歯がきれいに並ぶための十分なスペース(ベッド)が確保されました。その結果、重なっていた前歯が自然と正しい位置に並びやすくなりました。

このように、「スペースがないなら、顎を育ててスペースを作る」というのが一期治療の基本的なアプローチです。

【重要】今しかできない!一期治療の臨床的なメリット

「中学生になって、すべての永久歯が生え揃ってから矯正すればいいのでは?」と疑問に思う保護者の方もいらっしゃるかもしれません。しかし、一期治療には「子どもの成長期という今しか得られない」非常に大きな臨床的メリットがあります。

・顎の骨が柔らかく、成長を自然にコントロールできる 大人の顎の骨はすでに完成して硬くなっていますが、子どもの骨は成長途中であり、骨の継ぎ目(縫合部)も完全に閉じていません。そのため、強い力をかけなくても自然に顎の幅を広げたり、前後的な骨格のズレ(受け口や出っ歯の根本原因)を無理なく改善したりすることが可能です。

・二期治療が不要になる、または負担が減る 一期治療で土台が理想的に整えば、その後のワイヤー等を使った本格矯正(二期治療)が不要になるケースもあります。もし必要になった場合でも、治療期間が短く済むなど、お子様自身の身体的負担を大きく軽減できます。

・お口の悪習癖(口呼吸・指しゃぶりなど)を改善できる お口周りの筋肉(唇や舌)の使い方が悪いと、顎の正常な成長を妨げます。一期治療では、口呼吸から鼻呼吸への改善や、舌の正しい位置の獲得など、全身の健康発育に直結するトレーニングも併行して行います。

どんな兆候があったら相談すべき?チェックリスト

ご家庭で確認できる、一期治療の検討を始めるべきサインをご紹介します。当てはまるものがあれば、ぜひ一度チェックにお越しください。

・乳歯の間に隙間がない(すきっ歯ではなく、きっちり詰まって生えている)

・下の歯が上の歯より前に出ている(受け口・反対咬合)

・いつもお口がポカンと開いている(口呼吸の疑い)

・永久歯が本来の列から外れて、変な位置から生えてきた

・指しゃぶりや爪噛みのクセがなかなか抜けない

これらの兆候が見られる場合、顎のスペース不足や骨格的なアンバランスが隠れている可能性が高いです。

まとめ:一生モノの「土台作り」は成長期の特権です

歯並びの治療は「ただ歯を並べる」だけでなく、子ども自身が持っている自然な成長力を最大限に活かして「顎を育てる」ことで、より健康で後戻りの少ない安定したお口の環境を作ることができます。 骨格の成長を利用できるのは、子どもの時期だけに限られた特権です。

「まだ早いかな?」と思う時期であっても、専門的な視点から顎の成長発育の予測を立てることは十分可能です。お子様の歯並びや顎の成長で少しでも気になることがあれば、ぜひお早めに当院の矯正相談へお越しください。適切な治療開始のタイミングを見極め、一人ひとりに合った「顎を育てる」プランをご提案いたします。

にじいろ歯科 院長

歯科医師 澤田繁季

・日本顎咬合学会 かみ合わせ認定医

・日本口腔インプラント学会 専修医

・国際口腔インプラント学会 認定医

・日本糖尿病協会 登録歯科医

 

 

診療予約方法

カウンセリング診療をご希望の方は、事前に予約をお取りください。

 

ご予約の方法は2通りです。お痛みがあるなど緊急を要する方は、お電話ください。

 

〒491-0105

一宮市浅井町大日々野如来堂1545

 

にじいろ歯科/矯正歯科 一宮市の 歯科医院です。 歯科・矯正歯科・小児歯科・審美歯科・インプラント・ インビザライン・ホワイトニング  江南市、稲沢市、各務ヶ原市、岐阜市からも通いやすい歯医者です。

ページトップへ戻る
INSTAGRAM

INSTAGRAM

にじいろ歯科

〒491-0105 愛知県一宮市浅井町大日比野如来堂1545

TEL:0586-51-0418

駐車場30台完備

 

診療時間
9:00~13:00
14:00~18:00

※ △の診療は14:00~17:30
※ 休診日 : 木・日

医院紹介 スタッフ紹介 アクセス・診療時間