ブログ
BLOG医院紹介info
診療案内menu
矯正歯科ortho
インプラントimplant
症例case

こんにちは、一宮市浅井町の『にじいろ歯科』です。
「昔入れた銀歯、そのままでも大丈夫かな?」
「20年以上前の銀歯を白い歯に替えたほうがいいの?」
このような疑問をお持ちの方は、決して少なくありません。
実は、20年以上前に入れた銀歯には、見た目だけでなくお口や全身の健康に関わるリスクが潜んでいることがあります。
今回は、20年以上前の銀歯が抱えるリスクと、交換を検討するタイミング、白い歯へ替えるメリットについてわかりやすく解説します。
【目次】
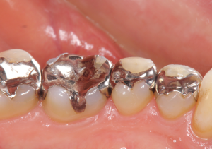
長期間使用された銀歯は、変色や光沢の消失、摩耗や変形が起こりやすくなります。
口を開けたときに銀歯が目立ち、笑顔や会話の印象に影響することもあります。
銀歯は時間の経過とともに歯との間にわずかな隙間が生じやすくなります。
そこから細菌が入り込み、銀歯の内側で虫歯が再発しているケースも少なくありません。
特に20年以上前の銀歯では、接着剤が劣化していることが多く、
痛みが出たときにはすでに虫歯が進行していることもあります。
銀歯の周囲はプラーク(歯垢)がたまりやすく、長期間放置すると歯周病が進行しやすくなります。
歯ぐきの腫れや出血が続く場合は要注意です。
重度になると、歯のぐらつきや抜歯につながることもあるため、早めの対応が大切です。
長年銀歯を使用していると、金属成分が少しずつ体内に取り込まれ、
金属アレルギーを発症するケースもあります。
皮膚のかゆみや湿疹、原因不明の体調不良が、実は銀歯と関係している場合もあります。
銀歯から溶け出した金属イオンが歯ぐきに沈着し、
黒ずみ(メタルタトゥー)として残ってしまうことがあります。
自然に消えることはほとんどないため、気になる場合は歯科医院での相談が必要です。
長期間使用した銀歯は、接着剤の劣化により外れてしまうことがあります。
外れかけの状態を放置すると、内部で虫歯が進行するリスクが高まります。
20年以上前の銀歯には、アマルガム(水銀を含む合金)が使われている場合もあります。
現在ではほとんど使用されていませんが、気になる方は一度確認しておくと安心です。
銀歯の下で進行する虫歯は、外から見えにくく発見が遅れがちです。
症状が出たときには、神経や歯の根まで影響しているケースもあります。
虫歯や歯周病が進行すると、歯を支える骨にまで影響し、
結果的に歯の寿命を縮めてしまうこともあります。
セラミックやジルコニアなどの素材は、
自然な見た目・高い耐久性・汚れにくさを兼ね備えています。
費用はかかりますが、見た目や長期的な安定性を重視する方におすすめです。
保険診療では、CAD/CAM冠やコンポジットレジンなどの白い素材を選べます。
銀歯より目立ちにくく、費用を抑えたい方に適しています。
ただし、適応部位や強度に制限があるため、歯科医師との相談が重要です。
◇装着から5〜7年以上経過している
◇銀歯の周囲に痛み・腫れ・出血がある
◇銀歯が外れた、外れかけている
◇変色や錆びが目立つ
◇歯ぐきが黒ずんでいる
◇金属アレルギー症状がある
◇白い歯にしたいと考えている
これらに当てはまる場合は、早めの相談がおすすめです。
20年以上前の銀歯は、見た目の問題だけでなく、虫歯や歯周病、金属アレルギーなどのリスクを抱えている可能性があります。
早めに状態を確認し、必要に応じて白い歯へ交換することで、歯の健康寿命を守ることにつながります。
当院では、丁寧なカウンセリングを通して、患者さま一人ひとりに合った治療方法をご提案しています。
「銀歯を白くしたい」「被せ物を相談したい」という方は、愛知県一宮市のにじいろ歯科までお気軽にご相談ください。
にじいろ歯科 院長
歯科医師 澤田繁季
・日本顎咬合学会 かみ合わせ認定医
・日本口腔インプラント学会 専修医
・国際口腔インプラント学会 認定医
・日本糖尿病協会 登録歯科医
〒491-0105
一宮市浅井町大日々野如来堂1545
にじいろ歯科/矯正歯科 一宮市の 歯科医院です。 歯科・矯正歯科・小児歯科・審美歯科・インプラント・ インビザライン・ホワイトニング 江南市、稲沢市、各務ヶ原市、岐阜市からも通いやすい歯医者です。
| 診療時間 | 月 | 火 | 水 | 木 | 金 | 土 | 日 | 祝 |
|---|---|---|---|---|---|---|---|---|
| 9:00~13:00 | ● | ● | ● | / | ● | ● | / | ● |
| 14:00~18:00 | ● | ● | △ | / | ● | △ | / | △ |
※ △の診療は14:00~17:30
※ 休診日 : 木・日