すきっ歯治療について

ブログ

BLOG

すきっ歯治療について

みなさんこんにちは。にじいろ歯科の大塚です。

本日はすきっ歯治療についてお話しします!
歯と歯の隙間が気になるという方はいらっしゃいますか。
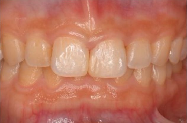
当院ではダイレクトボンディングという治療があります。
これは何かというと、白い樹脂(レジン)をその場で歯に盛り足して、形と色を整える治療です。
隙間を樹脂で埋めることにより、見た目が自然になります。

治療前

すきっ歯の治療

治療後

すきっ歯

メリットは
☑️歯を削らない
☑️麻酔なしで1日で終わる
☑️見た目が自然
です!!

当院のホームページに症例写真も載っております😌

症例写真はこちら→https://nijiiro-dc.com/diastema/

笑った時に気になる…前歯と前歯の隙間が気になる…などお悩みの方は一度ご相談ください♪

〒491-0105一宮市浅井町大日々野如来堂1545 にじいろ歯科/矯正歯科 こども歯科 一宮市の 歯科医院です。 歯科・矯正歯科・小児歯科・審美歯科・インプラント・ インビザライン・ホワイトニング  江南市、扶桑町、大口町からも通いやすい歯医者です。 ご予約は0586-51-0418まで。 初めての方はネット予約もございます。

ページトップへ戻る
INSTAGRAM

INSTAGRAM

にじいろ歯科

〒491-0105 愛知県一宮市浅井町大日比野如来堂1545

TEL:0586-51-0418

駐車場30台完備

 

診療時間
9:00~13:00
14:00~18:00

※ △の診療は14:00~17:30
※ 休診日 : 木・日

医院紹介 スタッフ紹介 アクセス・診療時間